Hyaluronic Acid-Coated Complexes of Cationic Polymeric Micelles and Serratiopeptidase—Preparation, Characterization, and Enzyme Activity

Anna PranchevaKatya KamenovaPetar D. Petrov. Hyaluronic Acid-Coated Complexes of Cationic Polymeric Micelles and Serratiopeptidase—Preparation, Characterization, and Enzyme Activity. Journal of Polymer Science, 63, 13, Wiley Periodicals, LLC., 2025, DOI:https://doi.org/10.1002/pol.20250185, 2782-2794. SJR (Scopus):0.95, JCR-IF (Web of Science):3.6   Q1, не оглавява ранглистата (Web of Science)

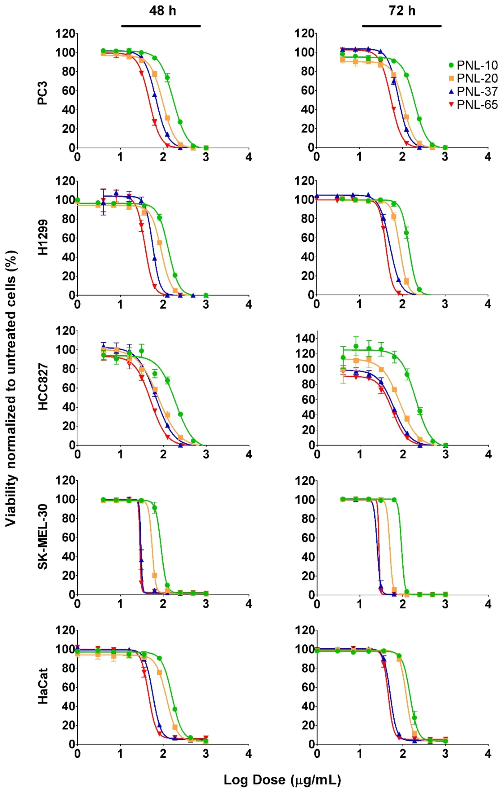
Design and Biological Evaluation of hBest1-Containing Bilayer Nanostructures

Bakardzhiev, P., Koleva, T. P., Mladenova, K. S., Videv, P., Moskova-Doumanova, V., Forys, A., Pisz, S., Andreeva, T., Petrova, S., Rangelov, S.DoumanovJ.. Design and biological evaluation of hBest1-containing bilayer nanostructures. Molecules, 30, MDPI, 2025, 2948. JCR-IF (Web of Science):4.6   Q1, не оглавява ранглистата (Scopus)

Formic acid electrospun composite fibers based on polyhydroxybutyrate/polyamide 6 loaded with protonated montmorillonite as promising disposable heavy metal removal sorbent

H.PenchevD.BudurovaK.Zaharieva, Aman A. Ali, Ahmed E. Abdelhamid, F.Ublekov, Ahmed A. El-Sayed, Ahmed M. Khalil. Formic acid electrospun composite fibers based on polyhydroxybutyrate/polyamide 6 loaded with protonated montmorillonite as promising disposable heavy metal removal sorbent. Emergent Materials, 2025, DOI:https://doi.org/10.1007/s42247-024-00712-2, 2451-2462. SJR (Scopus):0.72, JCR-IF (Web of Science):4.1   Q2 (Scopus)

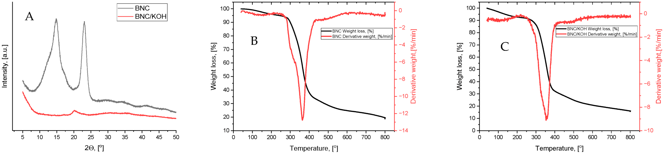
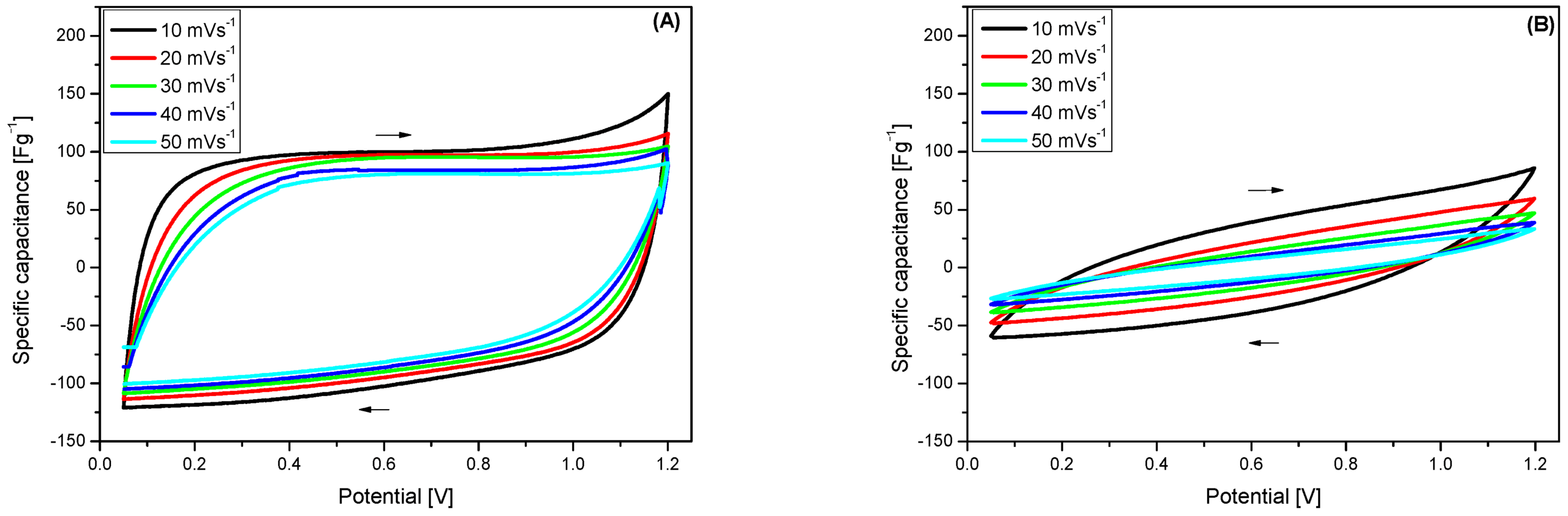
Supercapacitor Cell Performance with Bacterial Nanocellulose and Bacterial Nanocellulose/Polybenzimidazole Impregnated Membranes as Separator

Hristo Penchev, Galia Ivanova, Venelin Hubenov, Ivanka BoyadzievaDesislava BudurovaFilip Ublekov, Adriana Gigova, Antonia Stoyanova. Supercapacitor Cell Performance with Bacterial Nanocellulose and Bacterial Nanocellulose/Polybenzimidazole Impregnated Membranes as Separator. Membranes, 15, 1, MDPI, 2025, DOI:https://doi.org/10.3390/membranes15010012, SJR (Scopus):0.65, JCR-IF (Web of Science):3.6   Q2 (Scopus)

Incorporation of Resveratrol-Hydroxypropyl-β-Cyclodextrin Complexes into Hydrogel Formulation for Wound Treatment

Hristo Penchev, Galia Ivanova, Venelin Hubenov, Ivanka BoyadzievaDesislava BudurovaFilip Ublekov, Adriana Gigova, Antonia Stoyanova. Supercapacitor Cell Performance with Bacterial Nanocellulose and Bacterial Nanocellulose/Polybenzimidazole Impregnated Membranes as Separator. Membranes, 15, 1, MDPI, 2025, DOI:https://doi.org/10.3390/membranes15010012, 1-12. JCR-IF (Web of Science):3.9   Q1, не оглавява ранглистата (Web of Science)

Multifunctional Electrospun Materials from Poly(Vinyl Alcohol)/Chitosan and Polylactide Incorporating Rosmarinic Acid and Lidocaine with Antioxidant and Antimicrobial Properties

Ignatova, M.Paneva, D.Kyuchyuk, S.Manolova, N.Rashkov, I.Mourdjeva, M., Markova, N.. Multifunctional Electrospun Materials from Poly(Vinyl Alcohol)/Chitosan and Polylactide Incorporating Rosmarinic Acid and Lidocaine with Antioxidant and Antimicrobial Properties. Polymers, 17, 2025, JCR-IF (Web of Science):4.9   Q1, не оглавява ранглистата (Scopus)

Antineoplastic Activity of Podophyllotoxin and Juniper Extracts Encapsulated in MPEG-b-PLA Diblock Copolymer Micelles in Cutaneous Squamous Carcinoma Cells

Kalinova, R.Dimitrov, I., Ilieva, Y., Iliev, D., Miloshev, G., Staneva, D., Zaharieva, M., Nesheva, A., Staneva, G., Ivanova, D., Angelov, G., NajdenskiH.. Antineoplastic аctivity of podophyllotoxin and juniper extracts encapsulated in MPEG-b-PLA diblock copolymer micelles in cutaneous squamous carcinoma cells. International Journal of Molecular Sciences, 26, 11, MDPI, 2025, ISSN:1422-0067, DOI:10.3390/ijms26115167, 5167. SJR (Scopus):1.273, JCR-IF (Web of Science):4.9   Q1, не оглавява ранглистата (Web of Science)

Slip-Link Theory Predicts Entangled, Star-Branched Relaxation Measurably Different from Tube Model Predictions

Katzarova, M, Becerra, D, Córdoba, A, Taletskiy, K, Schieber, JD. Slip-Link Theory Predicts Entangled, Star-Branched Relaxation Measurably Different from Tube Model Predictions. Macromolecules, ACS, 2025, DOI:10.1021/acs.macromol.5c01583, JCR-IF (Web of Science):5.2   Q1, не оглавява ранглистата (Web of Science)

Encapsulation of Bacillus subtilis in Chitosan Gel Beads for Eco-Friendly Crop Protection

Krastev, V.Stoyanova, N.Valcheva, I., Draganova, D., Spasova, M.StoilovaO.. Encapsulation of Bacillus subtilis in Chitosan Gel Beads for Eco-Friendly Crop Protection. Gels, 11, 4, MDPI, 2025, ISSN:2310-2861, DOI:10.3390/gels11040302, 1-15. SJR (Scopus):0.847, JCR-IF (Web of Science):5.3   Q1, не оглавява ранглистата (Web of Science)

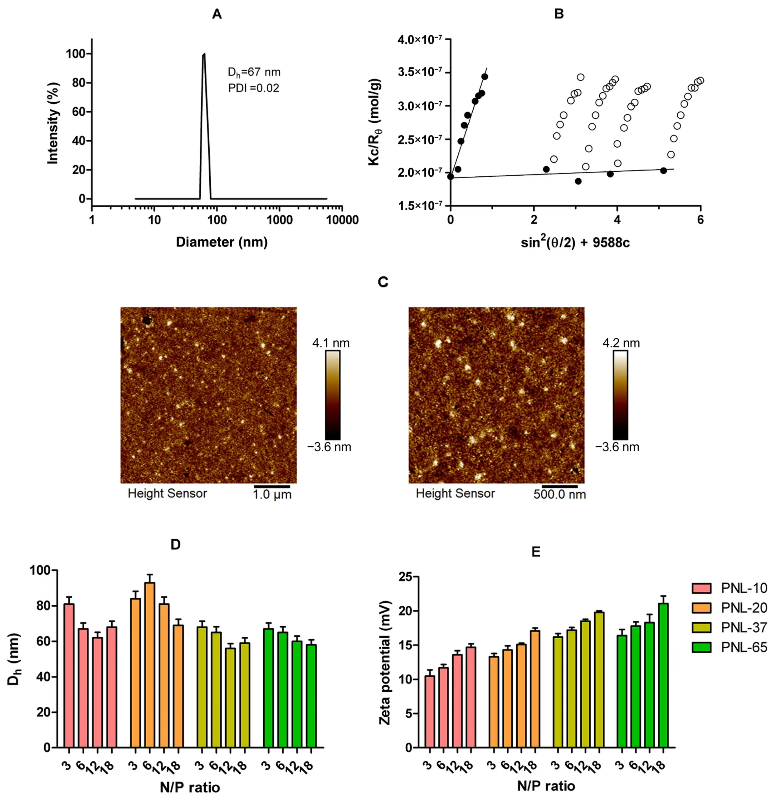
Polymer Micelles as Nanocarriers of Bioactive Peptides

Petar D. Petrov, Slavena Davidova, Galina Satchanska. Polymer Micelles as Nanocarriers of Bioactive Peptides. Polymers, 17, 9, MDPI, 2025, DOI:https://doi.org/10.3390/polym17091174, 1174. SJR (Scopus):0.918, JCR-IF (Web of Science):4.9   Q1, не оглавява ранглистата (Web of Science) 

Agar/β-Cyclodextrin Composite Cryogels for Controlled Release of Aripiprazole

Siyka StoilovaGeorgi Georgiev, Rositsa Mihaylova, Bistra Kostova, Petar D Petrov. Agar/β-Cyclodextrin Composite Cryogels for Controlled Release of Aripiprazole. Molecules, 2025, DOI:10.3390/molecules30051051, SJR (Scopus):0.865   Q2

Cationic Polymer Micelles as Carriers of Bioactive Sesquiterpene Lactones from Inula Helenium L. for Effective Treatment of Bacterial Biofilms

Stancheva, R.Damyanova, Ts., Paunova-Krasteva, Ts., Veleva, R., Topouzova-Hristova, T., Ivanova, V., Trendafilova, A., Dimitrov, I.Rangelov, S.HaladjovaE.. Cationic Polymer Micelles as Carriers of Bioactive Sesquiterpene Lactones from Inula Helenium L. for Effective Treatment of Bacterial Biofilms. Pharmaceutics, 17, 6, MDPI, 2025, 800. JCR-IF (Web of Science):5.5   Q1, не оглавява ранглистата (Web of Science) 

Electrospun Quercetin-Loaded PLA and PLA/Polyethylene Glycol Fibers: Preparation, Characterization, and In Vitro Evaluation

Stoyanova, N.Nachev, N., Georgieva, A., Toshkova, R., SpasovaM.. Electrospun Quercetin-Loaded PLA and PLA/Polyethylene Glycol Fibers: Preparation, Characterization, and In Vitro Evaluation. Pharmaceutics, 17, 5, MDPI, 2025, ISSN:1999-4923, DOI:10.3390/pharmaceutics17050577, 1-21. SJR (Scopus):1.075, JCR-IF (Web of Science):5.5   Q1, не оглавява ранглистата (Web of Science)

Biocontrol Potential of Poly(3-hydroxybutyrate) Fibers Functionalized with Chitooligosaccharide/Bacillus subtilis Using Electrospinning and Electrospraying

Stoyanova, N.Nachev, N., Naydenov, M, Valcheva, I., Spasova, M.StoilovaO.. Biocontrol Potential of Poly(3-hydroxybutyrate) Fibers Functionalized with Chitooligosaccharide/Bacillus subtilis Using Electrospinning and Electrospraying. Polymers, 17, 5, MDPI, 2025, ISSN:2073-4360, DOI:10.3390/polym17050692, 1-14. SJR (Scopus):0.918, JCR-IF (Web of Science):4.9   Q1, не оглавява ранглистата (Web of Science)

The Effect of Quercetin Loading in Polylactic Acid-Based Electrospun Fibers on Their Antioxidant, Antibacterial and Antitumor Properties

Stoyanova, N.Damyanova, T., Paunova-Krasteva, T., Georgieva, A., Toshkova, R., SpasovaM.. The Effect of Quercetin Loading in Polylactic Acid-Based Electrospun Fibers on Their Antioxidant, Antibacterial and Antitumor Properties. Molecules, 30, 11, MDPI, 2025, ISSN:1420-3049, DOI:10.3390/molecules30112307, 1-18. SJR (Scopus):0.865, JCR-IF (Web of Science):4.6   Q1, не оглавява ранглистата (Scopus)

Cu and Co supported on Vulcan XC-72R nanocomposites: Synthesis, characterization, and phenol degradation

Tsacheva, I., Dimitrova, M., Gigova, A., Dimitrov, O., Uzun, D.. Cu and Co supported on Vulcan XC-72R nanocomposites: Synthesis, characterization, and phenol degradation. Carbon Trends, 20, Elsevier Ltd, 2025, DOI:10.1016/j.cartre.2025.100530, SJR (Scopus):0.65, JCR-IF (Web of Science):3.9   Q2 (Scopus)

Metal–Organic Frameworks for Seawater Electrolysis and Hydrogen Production: A Review

Tsacheva, I., Mehmet Suha Yazici, Abdul Hanif Mahadi, Aytekin Uzunoglu, Uzun, D.. Metal–Organic Frameworks for Seawater Electrolysis and Hydrogen Production: A Review. Electrochem, 6, 4, MDPI, 2025, DOI:https://doi.org/10.3390/electrochem6040037, SJR (Scopus):0.71   Без JCR или SJR – индексиран в WoS или Scopus (Scopus) 

Radioprotective Efficacy of Phosphorus-Containing Polymer Complexes of Amifostine WR-2721

Tsacheva, I., Uzun, D.. Radioprotective Efficacy of Phosphorus-Containing Polymer Complexes of Amifostine WR-2721. Scientia Pharmaceutica, 93, 2, MDPI, 2025, DOI:https://doi.org/10.3390/scipharm93020021, SJR (Scopus):0.46, JCR-IF (Web of Science):2.5   Q2 (Scopus) 

Electrospun Biocarriers with Immobilized Yeasts for Eco-Friendly Biocontrol of Fusarium graminearum

Tsekova, P., Petkova, M., Spasova, M.StoilovaO.. Electrospun Biocarriers with Immobilized Yeasts for Eco-Friendly Biocontrol of Fusarium graminearum. Agronomy, 15, 7, MDPI, 2025, ISSN:2073-4395, DOI:10.3390/agronomy15071541, 1-17. SJR (Scopus):0.744, JCR-IF (Web of Science):3.4   Q1, не оглавява ранглистата (Web of Science)

Selective molecular probes for G-quadruplex and G-quadruplex–duplex junctions: Cyanine dye interactions and structural insight

Vasilev, ACheshmedzhieva, D, Ahmed, H, Raset, O, Borgonovo, G, Mazzini, S, Artali, R, Zuccolo, M, Gargallo, R. Selective molecular probes for G-quadruplex and G-quadruplexduplex junctions: Cyanine dye interactions and structural insight. International Journal of Biological Macromolecules, 321, Elsevier, 2025, DOI:https://doi.org/10.1016/j.ijbiomac.2025.146636, 146 636-146 651. SJR (Scopus):1.285, JCR-IF (Web of Science):8.5   Q1, не оглавява ранглистата (Web of Science)

Polyphosphoramidate Glycohydrogels with Biorecognition Properties and Potential Antibacterial Activity

Zornica TodorovaOyundari TumurbaatarVioleta MitovaNeli Koseva, Iva Ugrinova, Penka Petrova, Kolio TroevPolyphosphoramidate Glycohydrogels with Biorecognition Properties and Potential Antibacterial Activity. Molecules, 30, MDPI, 2025, DOI:10.3390/molecules30153140, 3140. SJR (Scopus):0.865, JCR-IF (Web of Science):4.6   Q1, не оглавява ранглистата (Scopus)

PET-Driven Fluorescence Modulation in Halochromic Styryl Hemicyanine Dyes Targeting DNA Minor Groove

Aleksandrova, T, Pashev, A, Ilieva, S, Gargallo, R, Cheshmedzhieva, D, Vasilev, A. PET-Driven Fluorescence Modulation in Halochromic Styryl Hemicyanine Dyes Targeting DNA Minor Groove. Molecules, 30, MDPI, 2025, DOI:https://doi.org/10.3390/molecules30234607, 4607. SJR (Scopus):0.698, JCR-IF (Web of Science):4.6   Q1, не оглавява ранглистата (Web of Science)  

THE ROLE OF MECHANOACTIVATION OF CARBON BLACK NANOPARTICLES IN THE FORMATION OF SEGREGATED STRUCTURE AND PROPERTIES OF POLYMERIC CONDUCTIVE NANOCOMPOSITES

Allahverdiyeva K.V., Kakhramanov N., Hasanova A.A., Koseva N.S.. THE ROLE OF MECHANOACTIVATION OF CARBON BLACK NANOPARTICLES IN THE FORMATION OF SEGREGATED STRUCTURE AND PROPERTIES OF POLYMERIC CONDUCTIVE NANOCOMPOSITES. ChemChemTech, 68 (6), pp. 126 – 133, 68, 6, Lviv Polytechnic National University, Lviv, Ukraine, 2025, ISSN:1996-7098, DOI:10.6060/ivkkt.20256806.7190, 126-133. SJR (Scopus):0.237   Q3 (Scopus) 

Investigation of the Mechanical Properties of Thermosetting Polymers Reinforced with Carbon Particles †

Boyan Dochev, Desislava Dimova, Mihail Zagorski, Filip Ublekov, Nikola Tomanov, Daniela Valeva. Investigation of the Mechanical Properties of Thermosetting Polymers Reinforced with Carbon Particles. Engineering Proceedings, 100, 1, MDPI, 2025, DOI:https://doi.org/10.3390/engproc2025100021, SJR (Scopus):0.205   Q3 (Scopus)

Mechanochemical Approach to a Monocationic Asymmetric Monomethine Cyanine Dye for Nucleic Acid Analysis and Visualization

Cheshmedzhieva, D., Bozova, N., Ilieva, S., Novakov, C.Vasilev, A.. Mechanochemical Approach to a Monocationic Asymmetric Monomethine Cyanine Dye for Nucleic Acid Analysis and Visualization. Molecules, 30, 19, MDPI, 2025, ISSN:1420-3049, DOI:10.3390/molecules30193966, 3966. JCR-IF (Web of Science):4.6   Q1, не оглавява ранглистата (Scopus)

Regularities of influence on thermophysical properties of polymer micro-and nanocomposites of their production methods

Fialko N.M., Meranova N.O., Korzhik V.M., Babak V.P., SherenkovskiyJu.V., Lazarenko M.M., Koseva N.S.Navrodska R.A., Polozenko N.P., Dinzhos R.V.. Regularities of influence on thermophysical properties of polymer micro-and nanocomposites of their production methods. Gas Institute of the National Academy of Sciences of Ukraine, 82, 1, Energotehnologii i Resursosberezenie, 2025, ISSN:24137723, DOI:10.33070/etars.1.2025.11, SJR (Scopus):0.2   Q4 (Scopus) 

Orodispersible Hydrogel Film Technology for Optimized Galantamine Delivery in the Treatment of Alzheimer’s Disease

Georgieva, D., Bogdanova, I., Mihaylova, R., Alexandrova, M.Bozhilova, S.Christova, D., Kostova, B.. Orodispersible Hydrogel Film Technology for Optimized Galantamine Delivery in the Treatment of Alzheimer’s Disease. Gels, 11, 2025, 629. JCR-IF (Web of Science):5.3   Q1, не оглавява ранглистата (Scopus) 

Design of 3D printed Mg doped Ni-Co-containing biowaste-derived porous silica as highly-effective catalysts for CO2 methanation

Grigoria Theochari, Ivalina Trendafilova, Boian Mladenov, Daniela Kovacheva, Daniela Karashanova, Genoveva Atanasova, Violeta Mitova, Margarita Popova. Design of 3D printed Mg doped Ni-Co-containing biowaste-derived porous silica as highly-effective catalysts for CO2 methanation. Catalysis Today, 459, Elsevier B.V., 2025, DOI:https://doi.org/10.1016/j.cattod.2025.115405., 115405. SJR (Scopus):1.05, JCR-IF (Web of Science):5.3   Q1, не оглавява ранглистата (Scopus) 

Bioaggregachromism of Asymmetric Monomethine Cyanine Dyes as Noncovalent Binders for Nucleic Acids

Ilieva, S., Petkov, N., Gargallo, R., Novakov, C., Rangelov, M., Todorova, N., Vasilev, A.CheshmedzhievaD.. Bioaggregachromism of Asymmetric Monomethine Cyanine Dyes as Noncovalent Binders for Nucleic Acids. Biosensors, 15, 3, MDPI, 2025, ISSN:2079-6374, DOI:10.3390/ bios15030187, 187. SJR (Scopus):0.885, JCR-IF (Web of Science):5.6   Q1, не оглавява ранглистата (Scopus)

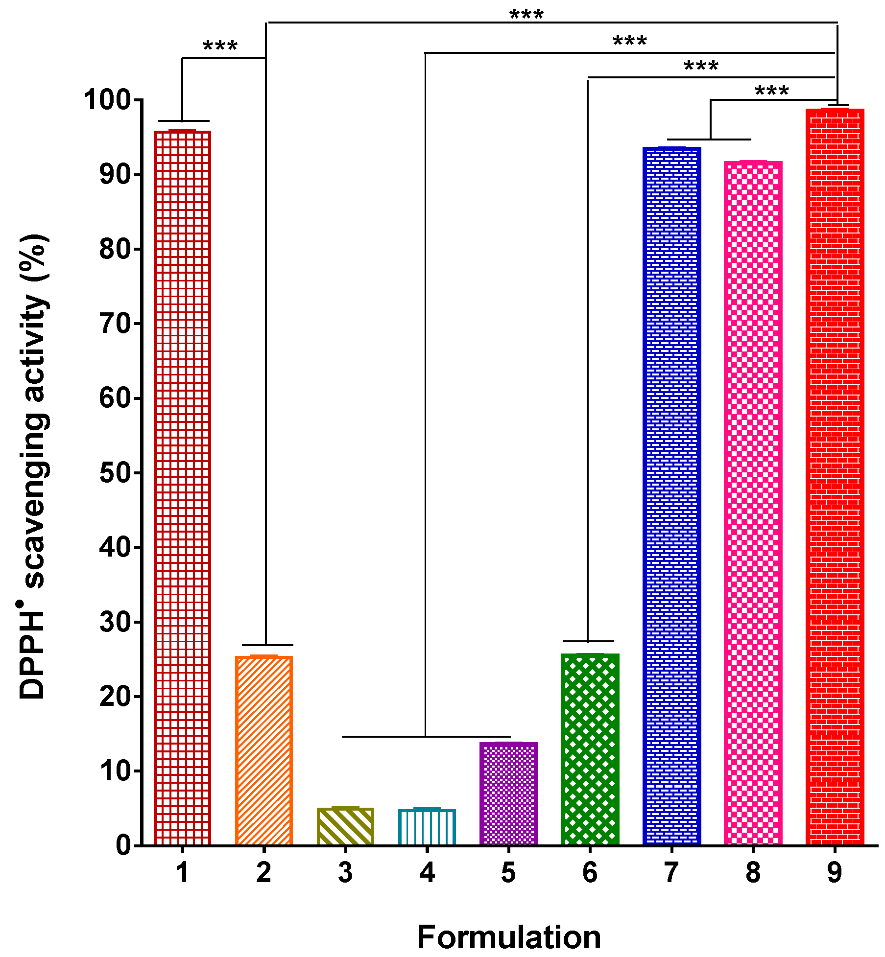
Water-Soluble Formulations of Curcumin and Eugenol Produced by Spray Drying

Iskra Z. Koleva, Katya KamenovaPetar D. Petrov, Christo T. Tzachev. Water-Soluble Formulations of Curcumin and Eugenol Produced by Spray Drying. Pharmaceuticals, 18, 7, MDPI, 2025, DOI:https://doi.org/10.3390/ph18070944, 944. JCR-IF (Web of Science):4.8   Q1, не оглавява ранглистата (Web of Science)

Ivanova, D., Apostolov, A., Tuleshkov, P.Novakov, C., Yankov, D.. New Menthol-Based Hydrophobic Deep Eutectic Solvents as a Tool for Lactic Acid Extraction. Applied Sciences, 15, 7, MDPI, 2025, ISSN:2076-3417, DOI:10.3390/app15073564, 3564. SJR (Scopus):0.521, JCR-IF (Web of Science):2.5   Q2 (Scopus)

Preparation and Physicochemical Evaluation of Ionically Cross-Linked Chitosan Nanoparticles Intended for Agricultural Use

Karayianni, M., Haladjova, E.Rangelov, S.PispasS.. Preparation and Physicochemical Evaluation of Ionically Cross-Linked Chitosan Nanoparticles Intended for Agricultural Use. Polysaccharides, 6, MDPI, 2025, 67. JCR-IF (Web of Science):5.5   Q1, не оглавява ранглистата (Web of Science) 

Aggregachromic Fluorogenic Asymmetric Cyanine Probes for Sensitive Detection of Heparin and Protamine

Kostadinov, A, Vasilev, ABaluschev, S, Landfester, K. Aggregachromic Fluorogenic Asymmetric Cyanine Probes for Sensitive Detection of Heparin and Protamine. Molecules, 570, 30, MDPI, 2025, DOI:https://doi.org/10.3390/molecules30030570, SJR (Scopus):0.698, JCR-IF (Web of Science):4.6   Q1, не оглавява ранглистата (Scopus) 

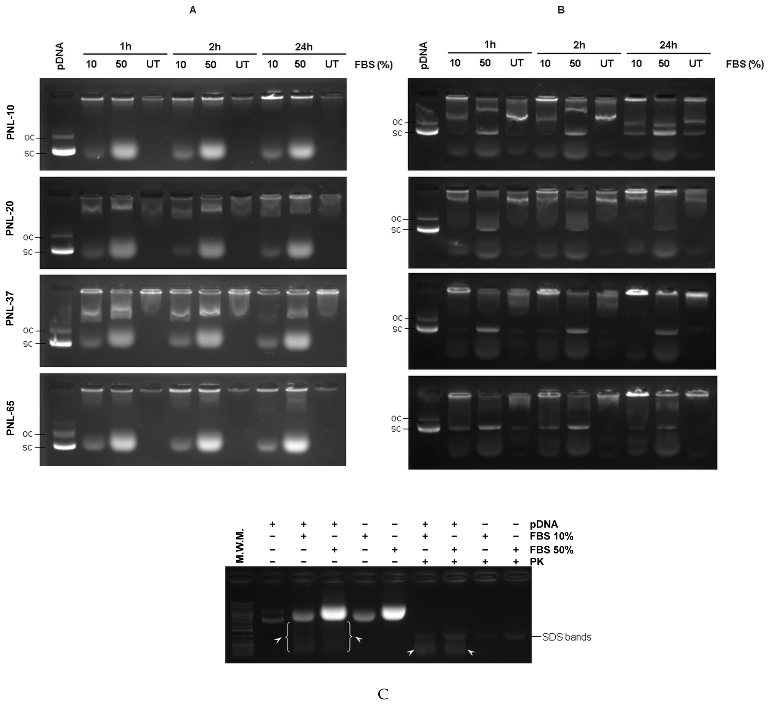
Plasmid DNA Delivery to Cancer Cells with Poly(L-lysine)-Based Copolymers Bearing Thermally Sensitive Segments: Balancing Polyplex Tightness, Transfection Efficiency, and Biocompatibility

Kotmakci, M., Toncheva-Moncheva, N.Tarkavannezhad, S., Butuner, B. D., Dimitrov, I.Rangelov, S.. Plasmid DNA Delivery to Cancer Cells with Poly(L-lysine)-Based Copolymers Bearing Thermally Sensitive Segments: Balancing Polyplex Tightness, Transfection Efficiency, and Biocompatibility. Pharmaceutics, 17, 8, MDPI, 2025, ISSN:1999-4923, DOI:https://doi.org/10.3390/pharmaceutics17081012, 1012. JCR-IF (Web of Science):5.5   Q1, не оглавява ранглистата (Scopus) 

Nanocomposite Materials: The Boundary Layer and the Thermodynamics of Inclusion Melting

Lazarenko, Maksym M., Zabashta, Yuri F., Cherevko, Konstantin V., Sobchuk, Andrii O., Alekseev, Oleksandr M., Yablochkova, Kateryna S., Alekseev, Sergei A., Dinzhos, Roman V.,Koseva, Neli S., Petrenko, Viktor I., Kopčanský, Peter, Bulavin, Leonid A.. Nanocomposite Materials: The Boundary Layer and the Thermodynamics of Inclusion Melting. ACS Applied Materials and Interfaces, 17, 31, American Chemical Society, 2025, ISSN:19448244, DOI:10.1021/acsami.5c06650, 45033. SJR (Scopus):1.921, JCR-IF (Web of Science):8.2   Q1, не оглавява ранглистата (Scopus) 

Hygrosensitive Response and Characteristics of Copolymer Coatings with Potential for Humidity Monitoring

Lazarova, K, Bozhilova, S, Docheva, M, Pavlova, K, Alexieva, G, Christova, DBabeva, T. Hygrosensitive Response and Characteristics of Copolymer Coatings with Potential for Humidity Monitoring. Coatings, 15, 8, MDPI, 2025, ISSN:2079-6412, DOI:https://doi.org/10.3390/coatings15080954, 954. SJR (Scopus):0.539, JCR-IF (Web of Science):2.8   Q2 (Scopus

Formulation of Caffeine–Hydroxypropyl-β-Cyclodextrin Complex in Hydrogel for Skin Treatment

Lyubomira Radeva, Eleftheria Kalampalika, Yordan Yordanov, Petar D. Petrov, Virginia Tzankova, Krassimira Yoncheva. Formulation of Caffeine–Hydroxypropyl-β-Cyclodextrin Complex in Hydrogel for Skin Treatment. Gels, 11, 5, MDPI, 2025, DOI:https://doi.org/10.3390/gels11050326, 326. JCR-IF (Web of Science):5.3   Q1, не оглавява ранглистата (Web of Science)

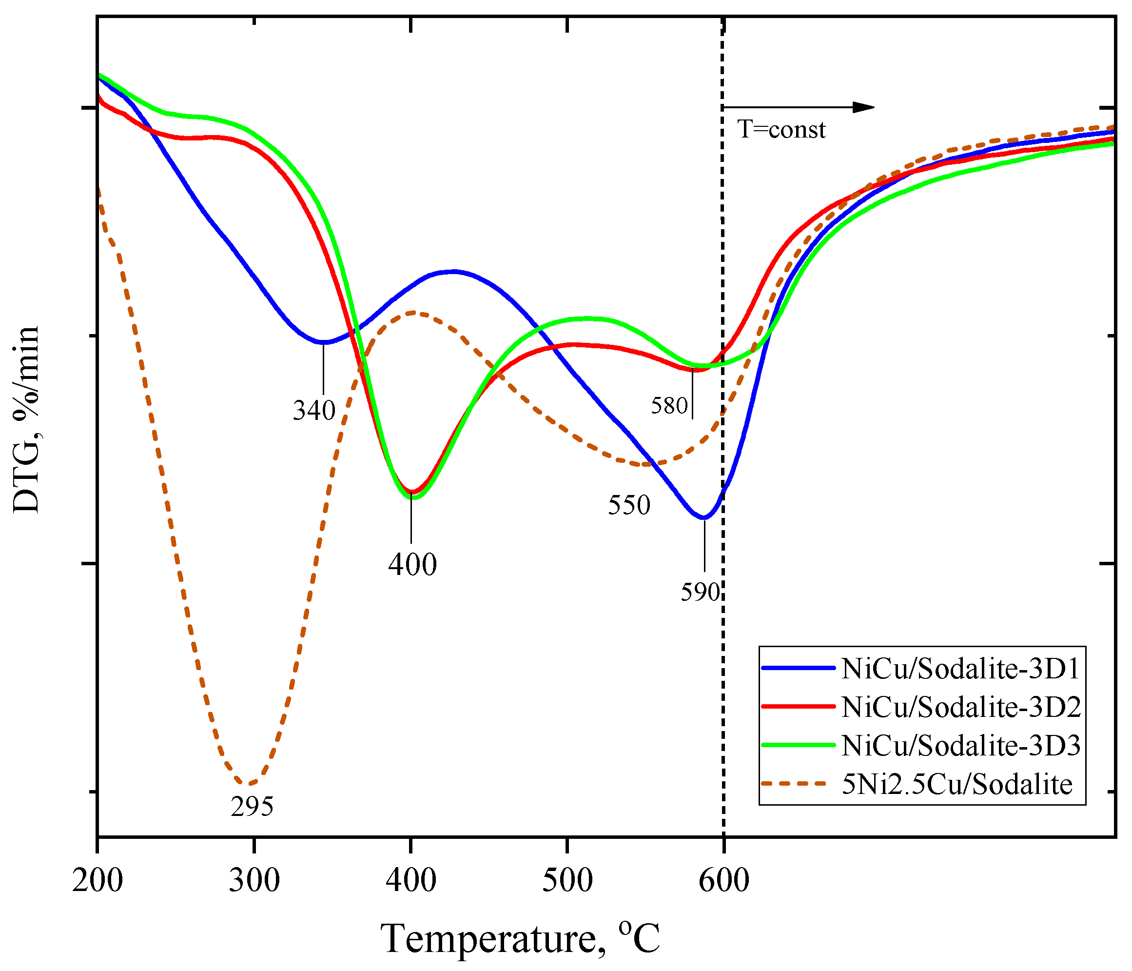
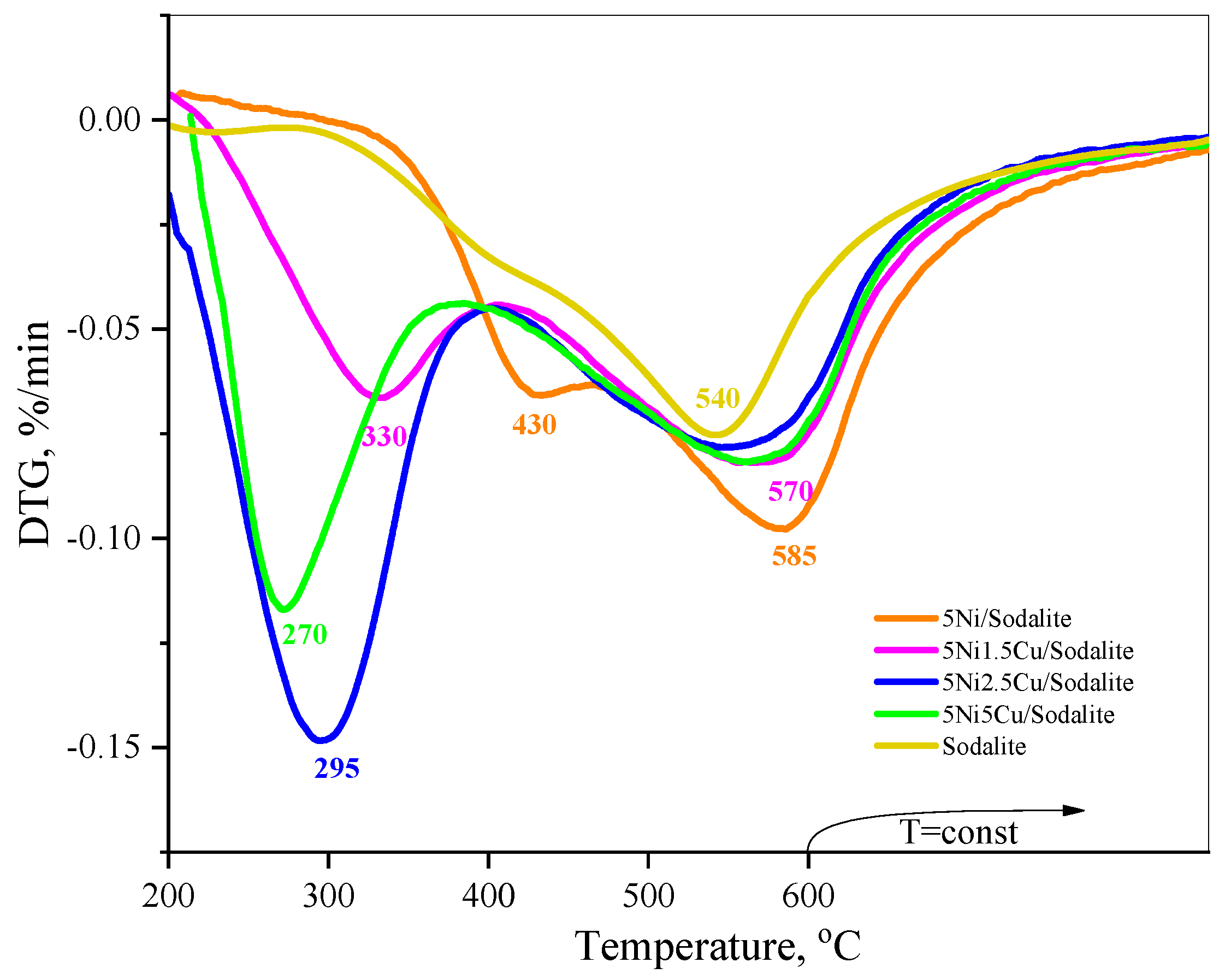
3D Printed Ni–Cu Sodalite Catalysts for Sustainable γ-Valerolactone Production from Levulinic Acid—Effect of the Copper Content and the Method of Preparation

Margarita Popova,, Boian Mladenov, Ivan Dimitrov, Momtchil Dimitrov, Violeta Mitova, Yavor Mitrev, Daniela Kovacheva, Nikolay Velinov, Daniela Karashanova, Silviya Boycheva. 3D Printed Ni–Cu Sodalite Catalysts for Sustainable γ-Valerolactone Production from Levulinic Acid—Effect of the Copper Content and the Method of Preparation. Processes, 13, 1, MDPI, 2025, DOI:https://doi.org/10.3390/pr13010072, 72. SJR (Scopus):0.554, JCR-IF (Web of Science):2.8   Q2 (Scopus)

Effect of different compatibilizers and aluminium hydroxide amount on the thermophysical and thermomechanical properties of polypropylene random copolymer/aluminium hydroxide composites

Mustafayeva F., Kakhramanov N., Martynova G., Koseva N.. Effect of different compatibilizers and aluminium hydroxide amount on the thermophysical and thermomechanical properties of polypropylene random copolymer/aluminium hydroxide composites. Journal of the Serbian Chemical Society, 90, 6, Serbian Chemical Society, 2025, ISSN:0352-5139, DOI:10.2298/JSC241112021M, 789-802. SJR (Scopus):0.23   Q3 (Scopus) 

Antiviral Activity of Origanum vulgare ssp. hirtum Essential Oil-Loaded Polymeric Micelles

Neli Vilhelmova-Ilieva, Ivan Iliev, Katya KamenovaGeorgy Grancharov, Krasimir Rusanov, Ivan Atanassov, Petar D. Petrov. Antiviral Activity of Origanum vulgare ssp. hirtum Essential Oil-Loaded Polymeric Micelles. Biomedicines, 13, 10, MDPI, 2025, DOI:https://doi.org/10.3390/biomedicines13102417, 2417. SJR (Scopus):1.114, JCR-IF (Web of Science):3.9   Q1, не оглавява ранглистата (Web of Science)

Formulation of PVA Hydrogel Patch as a Drug Delivery System of Albumin Nanoparticles Loaded with Curcumin

Radeva, L., Belchev, A., Karimi Dardashti, P., Yordanov, Y., Spassova, I., Kovacheva, D., Spasova, M.Petrov, P.D.Tzankova, V., Yoncheva, K. Formulation of PVA Hydrogel Patch as a Drug Delivery System of Albumin Nanoparticles Loaded with Curcumin. Gels, 11, 12, MDPI, 2025, ISSN:2310-2861, DOI:10.3390/gels11120979, 1-17. SJR (Scopus):0.847, JCR-IF (Web of Science):5.3   Q1, не оглавява ранглистата (Web of Science)

Investigation of relaxation processes and phase transition in the polyethylene glycol 400 using IR spectra in a wide temperature range

Sobchuk A.O., Andrusenko D.A., Shevchenko V.B., Alekseev S.A., Yablochkova K.S., Lysenkov E.A., Dinzhos R.V.Ublekov, FilipTuleshkov P.Koseva N.Gregirchak N.M., Lazarenko M.V., Alekseev O.M., Lazarenko M.M.. Investigation of relaxation processes and phase transition in the polyethylene glycol 400 using IR spectra in a wide temperature range. Low Temperature Physics, 51, 2, American Institute of Physics, 2025, ISSN:1063777X, DOI:10.1063/10.0035407, SJR (Scopus):0.2, JCR-IF (Web of Science):0.8   Q4 (Scopus)

Investigation of relaxation processes and phase transition in the polyethylene glycol 400 using IR spectra in a wide temperature range

Sobchuk, A. O, Andrusenko, . D. A., Shevchenko, V. B., Alekseev, S. A., Yablochkova, K. S., Lysenkov, E. A., Dinzhos, R. V.Ublekov, F.Tuleshkov, P.Koseva, N.Gregirchak, N. M., Lazarenko, M. V., Alekseev, O. M., Lazarenko, M. M.. Investigation of Relaxation Processes and Phase Transition in the Polyethylene Glycol 400 Using IR Spectra in a Wide Temperature Range. Fizika Nizkikh Temperatur, 51, 2025, 231-238. SJR (Scopus):0.18   Q4 (Scopus) 

In Vitro Evaluation of the Safety and Antineoplastic Effects in Gastrointestinal Tumors of Nanostructured Lipid Carriers Loaded with Berberine

Stefanova, D., Yordanov, Y., Bogdanova, R., Voycheva, C., Tzankov, B., Popova, T., Kondeva-Burdina, M., Tzankova, V., Toncheva-Moncheva, N.Tzankova, D., SlavkovaM.. In Vitro Evaluation of the Safety and Antineoplastic Effects in Gastrointestinal Tumors of Nanostructured Lipid Carriers Loaded with Berberine. Pharmaceutics, 17, 3, Multidisciplinary Digital Publishing Institute (MDPI), 2025, ISSN:1999-4923, DOI:https://doi.org/10.3390/pharmaceutics17030331, 331. JCR-IF (Web of Science):5.5   Q1, не оглавява ранглистата (Scopus)

Design and Characterization of Thermosensitive Niosomes as Platforms for Daunorubicin Delivery

Viliana Gugleva, Katerina Ahchiyska, Elena Drakalska-Sersemova, Rositsa MihaylovaNatalia Toncheva-MonchevaErik DimitrovKrum Aleksandrov, Aleksander Forys, Barbara Trzebicka, Denitsa Momekova. Design and Characterization of Thermosensitive Niosomes as Platforms for Daunorubicin Delivery. Pharmaceuticals, 18, 9, MDPI, 2025, DOI:https//doi.org/10.3390/ph18091375, 1375. JCR-IF (Web of Science):4.8   Q1, не оглавява ранглистата (Scopus) 

The Role of Pluronic Copolymer on the Physicochemical Characteristics of ZnO-CeO2 Photocatalysts

Zaharieva K., Dimova, S.Stambolova I., Dimitrov O., Shipochka M., Mladenova R., Stoyanova D., Markov P., Dimitrova M.. The Role of Pluronic Copolymer on the Physicochemical Characteristics of ZnO-CeO2 Photocatalysts. Crystals, 15, 12, MDPI, 2025, ISSN:2073-4352, DOI:dx.doi.org/10.7546/CRABS.2024.12.04, SJR (Scopus):0.486, JCR-IF (Web of Science):2.4   Q2 (Scopus)